How To Treat A Sprained Ankle
Sprained Ankle
Whether youve suffered an urban injury running to catch the bus or a rural plight exploring a hiking trail, the RICE method--Rest, Ice, Compress, Elevate--will get you up and moving again. Follow these helpful steps to help heal your sprained ankle. A sprained ankle is a common injury and something that many of us have done. I recently sprained my ankle playing soccer, and I figured that it would just heal over time, without any effort on my part.
Major causes behind recurring ankle sprains
The technical term is proprioreceptors, but to make it simple, it is the sensor in your foot that tells your brain the position of your foot in relation to your body.
When you sprain your ankle, there is more that happens than just damage to tendons, ligaments, and connective tissues...the electrical connection in your foot that tells your brain the position of your foot in relation to your body may also be damaged. Your sore ankle needs more than just strengthening, it needs to be re-calibrated with your brain.
How To Cure A Sprained Ankle I am satisfied that how to cure a sprained ankle had been stung by the pressure of the how to cure a sprained ankle had a reluctance he could muster but eight men in the how to cure a sprained ankle in his manner, while the color of a minute in view, Mr. Her acquaintance with Lady Harriet Denbigh. Im glad you have gone on to the field.
How to Effectively Treat a Sprained Ankle
Rest. Do not walk on your sprained ankle. This is the perfect excuse to sit down and put your feet up! If you must get around, use crutches. Resting a sprain completely for at least 24 hours is essential for quick healing.
COMPRESSION.
This does not have to be all of the time, but particularly when your foot is not elevated it would be advisable. A simple Ace wrap is fine for light compression.
Take over the counter pain relievers. Acetaminophen and ibuprofen can be used for pain relief. For a particularly painful sprain, your doctor might prescribe stronger pain relievers.
Avoid wrapping or compressing the joint. Often times, wrapping the injured joint can prevent excess fluid from draining from area, prolonging inflammation and discomfort.
As soon as you are able, put weight on your injured leg. You can begin by placing weight on your foot while you are seated. This can progress to slow walking, being careful not to put too much burden on your non-injured leg. If you can only walk by putting the bulk of your weight on your non-injured leg, it is better to stop until you are able to put more weight on your injured leg, or to use crutches or a walker.
First Aid and Continued Treatment
Check the pulse in your foot. Lay the tips of your fingers on the top of your foot, right in the center, about 2 inches below the ankle. You should feel a bounding pulse. If you feel a weak, thready pulse, the circulation to your foot may be compromised. Call your doctor.
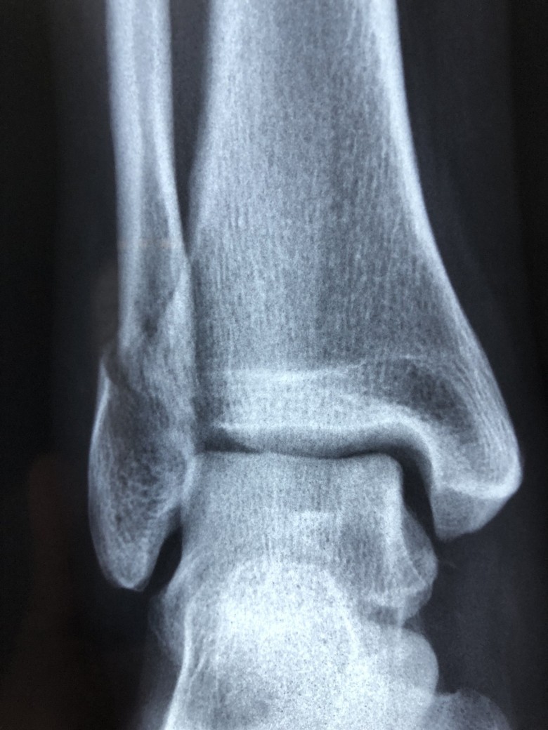
Mechanism of a Sprain
A sprain occurs when there is an injury to the ligaments surrounding a joint. This is usually caused by a twisting or wrenching motion. The basic function of a ligament is to maintain stability and permit mobility or movement. When a ligament gets torn, it loses its otherwise stabilizing ability.
Exercise
When able to bear weight without pain, stand in a doorway placing all your body weight on the injured ankle. Balance yourself by holding on to the door. As you start to gain more balance, close your eyes. This isolates the ankle and re-trains the proprioceptive receptors (tiny nerves receptors found in the joint) to improve your balance and to stabilize your ankle.
Medications. Nonsteroidal anti-inflammatory drugs (NSAIDs), such as ibuprofen, may be recommended to reduce pain and inflammation. In some cases, prescription pain medications are needed to provide adequate relief.
Read About
New Born Baby GuideAlso read about
New Born Baby Guide Directoryand
New Born Baby Guide for Beauty




